 
    
    
مسافر ایرانی با یک کیلو تریاک در معده به دام پلیس ترکیه افتاد (+عکس)
روزنو :پلیس ترکیه یک اتوبوس مسافربری در بزرگراه آغری - ارزروم را متوقف کرد و به هنگام بازرسی سرنشینان اتوبوس به شکم ورم کرده و برآمده یکی از آنها شک کرد.
                              
روز نو :یک مسافر ایرانی در شهر آغری ترکیه به اتهام حمل مواد مخدر دستگیر شد. مهران.ن یک کیلو و ۱۲۶ گرم مواد مخدر شامل تریاک را با قورت دادن کپسولها در معده خود حمل میکرد.
پلیس ترکیه یک اتوبوس مسافربری در بزرگراه آغری - ارزروم را متوقف کرد و به هنگام بازرسی سرنشینان اتوبوس به شکم ورم کرده و برآمده یکی از آنها شک کرد.
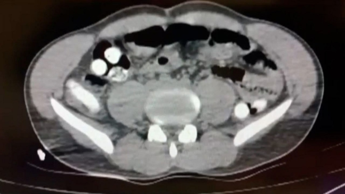
در عکس رادیوگرافی فرد مظنون مشخص شد که او با قورت دادن ۱۰۲ کپسول حاوی تریاک اقدام به حمل مواد مخدر کرده است.
متهم به دادسرا منتقل شده و مراحل رسیدگی به پرونده او در دستور کار قرار گرفته است.
در ویدیوی منتشر شده از مراحل دستگیری و بازداشت این فرد مرحله «شستن کپسولهای خارج شده از معده متهم و گذاشتن آنها در کیسهای پلاستیکی» نشان داده میشود.
 
     
     
     
         
         
         
         
         
                         
                         
                         
                         
                        